中文名稱:兔抗SLC25A1多克隆抗體
|
Background: |
This gene encodes a member of the mitochondrial carrier subfamily of solute carrier proteins. Members of this family include nuclear-encoded transporters that translocate small metabolites across the mitochondrial membrane. This protein regulates the movement of citrate across the inner membranes of the mitochondria. Mutations in this gene have been associated with combined D-2- and L-2-hydroxyglutaric aciduria. |
|
Applications: |
ELISA, IHC |
|
Name of antibody: |
SLC25A1 |
|
Immunogen: |
Fusion protein of human SLC25A1 |
|
Full name: |
solute carrier family 25 (mitochondrial carrier; citrate transporter), member 1 |
|
Synonyms: |
CTP; SEA; D2L2AD; SLC20A3 |
|
SwissProt: |
P53007 |
|
ELISA Recommended dilution: |
2000-5000 |
|
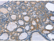
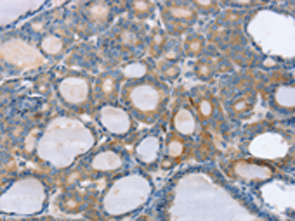
IHC positive control: |
Human thyroid cancer and human liver cancer |
|
IHC Recommend dilution: |
25-100 |
購(gòu)物車(chē)
幫助
021-54845833/15800441009
