中文名稱: 兔抗SLC24A5多克隆抗體
|
Background: |
This gene is a member of the potassium-dependent sodium/calcium exchanger family and encodes an intracellular membrane protein with 2 large hydrophilic loops and 2 sets of multiple transmembrane-spanning segments. Sequence variation in this gene has been associated with differences in skin pigmentation. |
|
Applications: |
ELISA, IHC |
|
Name of antibody: |
SLC24A5 |
|
Immunogen: |
Synthetic peptide of human SLC24A5 |
|
Full name: |
solute carrier family 24 (sodium/potassium/calcium exchanger), member 5 |
|
Synonyms: |
JSX; OCA6; NCKX5; SHEP4 |
|
SwissProt: |
Q71RS6 |
|
ELISA Recommended dilution: |
5000-10000 |
|
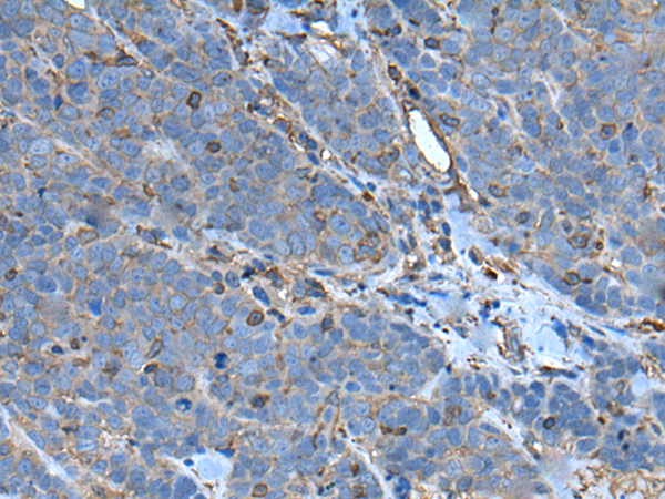
IHC positive control: |
Human thyroid cancer |
|
IHC Recommend dilution: |
30-150 |
購物車
幫助
021-54845833/15800441009
