|
Background: |
This gene belongs to the VCX/Y gene family, which has multiple members on both X and Y chromosomes, and all are expressed exclusively in male germ cells. The X-linked members are clustered on chromosome Xp22 and Y-linked members are two identical copies of the gene within a palindromic region on Yq11. The family members share a high degree of sequence identity, with the exception that a 30-bp unit is tandemly repeated in X-linked members but occurs only once in Y-linked members. The VCX gene cluster is polymorphic in terms of copy number; different individuals may have a different number of VCX genes. VCX/Y genes encode small and highly charged proteins of unknown function. The presence of a putative bipartite nuclear localization signal suggests that VCX/Y members are nuclear proteins. This gene contains 10 repeats of the 30-bp unit. |
|
Applications: |
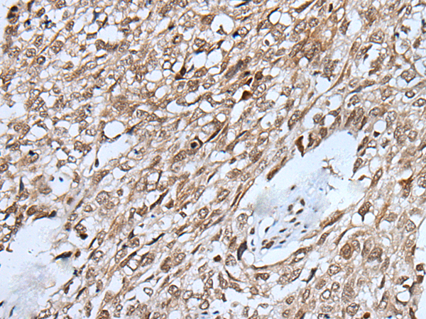
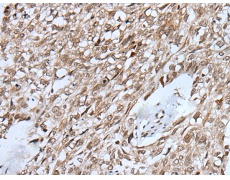
ELISA, IHC |
|
Name of antibody: |
VCX |
|
Immunogen: |
Synthetic peptide of human VCX |
|
Full name: |
variable charge, X-linked |
|
Synonyms: |
VCX1; VCXB1; VCX-B1; VCX10R; VCX-10r |
|
SwissProt: |
Q9H320 |
|
ELISA Recommended dilution: |
5000-10000 |
|
IHC positive control: |
Human lung cancer |
|
IHC Recommend dilution: |
20-100 |
購物車
幫助
021-54845833/15800441009
