|
Background: |
This gene encodes a tumor suppressor protein containing transcriptional activation, DNA binding, and oligomerization domains. The encoded protein responds to diverse cellular stresses to regulate expression of target genes, thereby inducing cell cycle arrest, apoptosis, senescence, DNA repair, or changes in metabolism. Mutations in this gene are associated with a variety of human cancers, including hereditary cancers such as Li-Fraumeni syndrome. |
|
Applications: |
IHC |
|
Name of antibody: |
TP53(Phospho-Thr387) |
|
Immunogen: |
Peptide sequence around phosphorylation site of threonine 387(F-K-T(p)-E-G) derived from Human p53. |
|
Full name: |
tumor protein p53 |
|
Synonyms: |
P53; BCC7; LFS1; TRP53 |
|
SwissProt: |
P04637 |
|
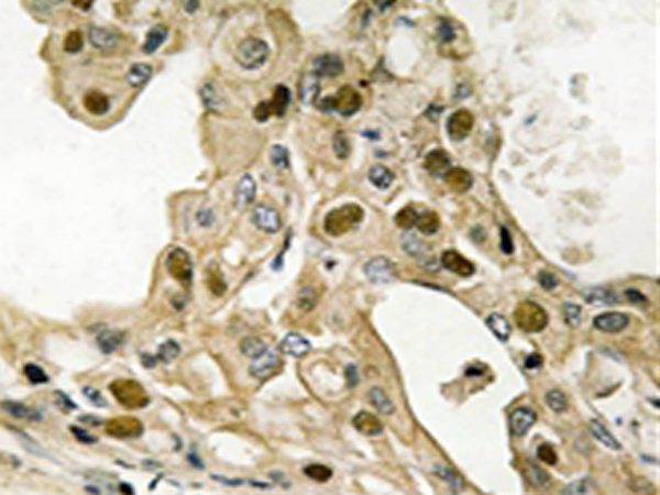
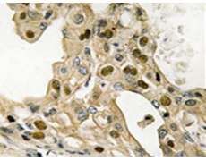
IHC positive control: |
Human breast carcinoma tissue |
|
IHC Recommend dilution: |
50-100 |
購物車
幫助
021-54845833/15800441009
