|
Background: |
This gene encodes a mitochondrial DNA topoisomerase that plays a role in the modification of DNA topology. The encoded protein is a type IB topoisomerase and catalyzes the transient breaking and rejoining of DNA to relieve tension and DNA supercoiling generated in the mitochondrial genome during replication and transcription. Alternatively spliced transcript variants encoding multiple isoforms have been observed for this gene. |
|
Applications: |
ELISA, IHC |
|
Name of antibody: |
TOP1MT |
|
Immunogen: |
Synthetic peptide of human TOP1MT |
|
Full name: |
topoisomerase (DNA) I, mitochondrial |
|
SwissProt: |
Q969P6 |
|
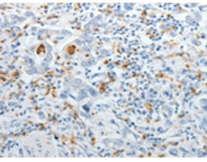
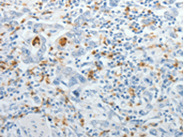
IHC positive control: |
Human gastric cancer and human lung cancer |
|
IHC Recommend dilution: |
42510 |
購物車
幫助
021-54845833/15800441009
