中文名稱(chēng): 兔抗GGCX多克隆抗體
|
Background: |
This gene encodes an enzyme which catalyzes the posttranslational modification of vitamin K-dependent protein. Many of these vitamin K-dependent proteins are involved in coagulation so the function of the encoded enzyme is essential for hemostasis. Mutations in this gene are associated with vitamin K-dependent coagulation defect and PXE-like disorder with multiple coagulation factor deficiency. Multiple transcript variants encoding different isoforms have been found for this gene. |
|
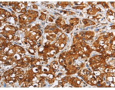
Applications: |
ELISA, IHC |
|
Name of antibody: |
GGCX |
|
Immunogen: |
Fusion protein of human GGCX |
|
Full name: |
gamma-glutamyl carboxylase |
|
Synonyms: |
VKCFD1 |
|
SwissProt: |
P38435 |
|
ELISA Recommended dilution: |
2000-10000 |
|
IHC positive control: |
Human breast cancer and Human liver cancer |
|
IHC Recommend dilution: |
100-300 |

購(gòu)物車(chē)
幫助
021-54845833/15800441009
