|
Background: |
This gene encodes a protein which was initially identified as a sphingomyelinase based on sequence similarity between bacterial sphingomyelinases and a yeast protein. Subsequent studies showed that its biological function is less likely to be as a sphingomyelinase and instead as a lysophospholipase. |
|
Applications: |
ELISA, WB, IHC |
|
Name of antibody: |
SMPD2 |
|
Immunogen: |
Fusion protein of human SMPD2 |
|
Full name: |
sphingomyelin phosphodiesterase 2 |
|
Synonyms: |
ISC1; NSMASE; NSMASE1 |
|
SwissProt: |
O60906 |
|
ELISA Recommended dilution: |
5000-10000 |
|
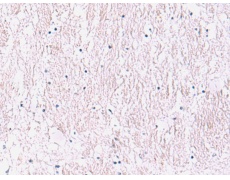
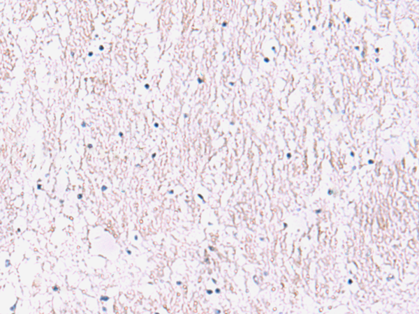
IHC positive control: |
Human liver cancer and Human tonsil |
|
IHC Recommend dilution: |
50-300 |
|
WB Predicted band size: |
48 kDa |
|
WB Positive control: |
Mouse lung tissue lysate |
|
WB Recommended dilution: |
1000-5000 |
購(gòu)物車
幫助
021-54845833/15800441009
