中文名稱: 兔抗GINS2多克隆抗體
別 名: GINS complex subunit 2; PSF2; Pfs2; HSPC037
儲 存: 冷凍(-20℃)
抗 原: GINS2
|
Background: |
The yeast heterotetrameric GINS complex is made up of Sld5 (GINS4; MIM 610611), Psf1 (GINS1; MIM 610608), Psf2, and Psf3 (GINS3; MIM 610610). The formation of this complex is essential for the initiation of DNA replication in yeast and Xenopus egg extracts (Ueno et al., 2005 [PubMed 16287864]). See GINS1 for additional information about the GINS complex. |
|
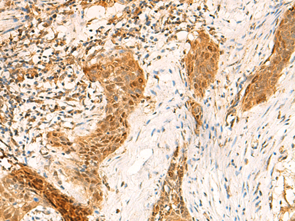
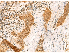
Applications: |
ELISA, IHC |
|
Name of antibody: |
GINS2 |
|
Immunogen: |
Fusion protein of human GINS2 |
|
Full name: |
GINS complex subunit 2 |
|
Synonyms: |
PSF2; Pfs2; HSPC037 |
|
SwissProt: |
Q9Y248 |
|
ELISA Recommended dilution: |
5000-10000 |
|
IHC positive control: |
Human esophagus cancer |
|
IHC Recommend dilution: |
50-300 |
購物車
幫助
021-54845833/15800441009
