Background:
This gene encodes a deubiquitinating enzyme that is phosphorylated at the onset of mitosis and then dephosphorylated at the metaphase/anaphase transition. It can deubiquitinate H2A, one of two major ubiquitinated proteins of chromatin, in vitro and a mutant form of the protein was shown to block cell division. Alternate transcriptional splice variants, encoding different isoforms, have been characterized.
Applications:
ELISA, IHC
Name of antibody:
USP16
Immunogen:
Synthetic peptide of human USP16
Full name:
ubiquitin specific peptidase 16
Synonyms:
UBPM; UBP-M
SwissProt:
Q9Y5T5
ELISA Recommended dilution:
5000-10000
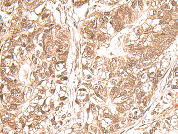
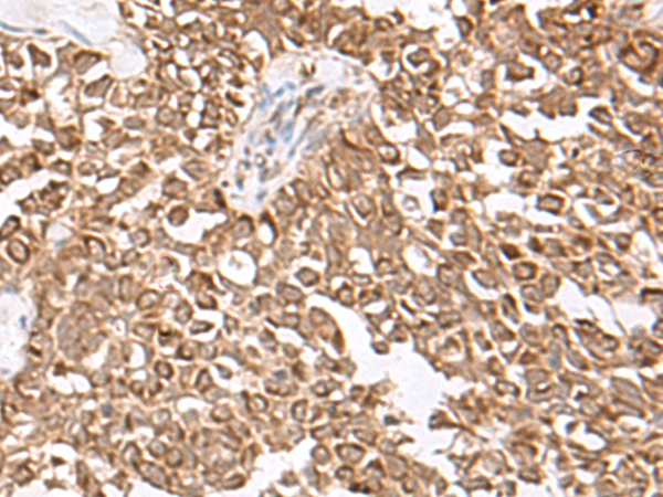
IHC positive control:
Human gastric cancer and Human ovarian cancer
IHC Recommend dilution:
30-150


購物車
幫助
021-54845833/15800441009
