|
Background: |
This gene encodes an estrogen receptor, a ligand-activated transcription factor composed of several domains important for hormone binding, DNA binding, and activation of transcription. The protein localizes to the nucleus where it may form a homodimer or a heterodimer with estrogen receptor 2. Estrogen and its receptors are essential for sexual development and reproductive function, but also play a role in other tissues such as bone. |
|
Applications: |
WB, IHC |
|
Name of antibody: |
ESR1(Phospho-Tyr537) |
|
Immunogen: |
Peptide sequence around phosphorylation site of tyrosine 537(P-L-Y(p)-D-L) derived from Human Estrogen Receptor-α. |
|
Full name: |
estrogen receptor 1 |
|
Synonyms: |
ER; ESR; Era; ESRA; ESTRR; NR3A1 |
|
SwissProt: |
P03372 |
|
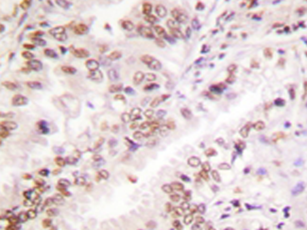
IHC positive control: |
Human lung carcinoma tissue |
|
IHC Recommend dilution: |
50-100 |
|
WB Predicted band size: |
66 kDa |
|
WB Positive control: |
K562 cells lysates |
|
WB Recommended dilution: |
500-1000 |

購(gòu)物車
幫助
021-54845833/15800441009
