|
Background: |
This gene encodes a ribonuclease (RNase) III double-stranded RNA-specific ribonuclease and subunit of the microprocessor protein complex, which catalyzes the initial processing step of microRNA (miRNA) synthesis. The encoded protein cleaves the stem loop structure from the primary microRNA (pri-miRNA) in the nucleus, yielding the precursor miRNA (pre-miRNA), which is then exported to the cytoplasm for further processing. In a human cell line lacking a functional copy of this gene, canonical miRNA synthesis is reduced. Somatic mutations in this gene have been observed in human patients with kidney cancer. |
|
Applications: |
ELISA, IHC |
|
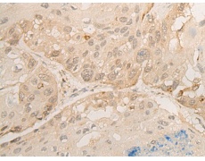
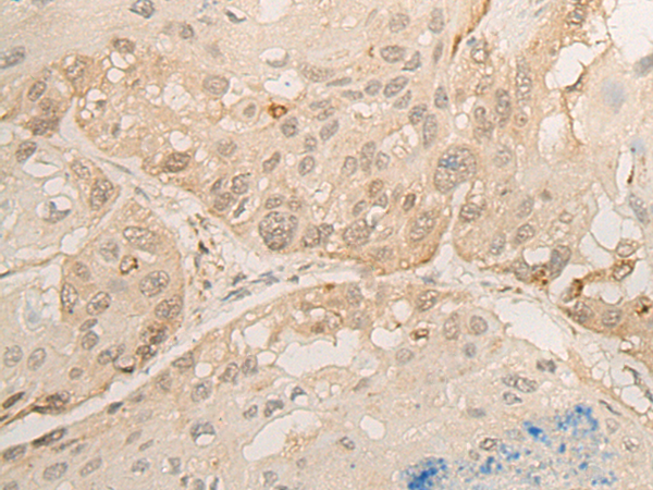
Name of antibody: |
DROSHA |
|
Immunogen: |
Synthetic peptide of human DROSHA |
|
Full name: |
drosha ribonuclease III |
|
Synonyms: |
RN3; ETOHI2; RNASEN; RANSE3L; RNASE3L; HSA242976 |
|
SwissProt: |
Q9NRR4 |
|
ELISA Recommended dilution: |
5000-10000 |
|
IHC positive control: |
Human esophagus cancer; |
|
IHC Recommend dilution: |
30-150 |
購(gòu)物車
幫助
021-54845833/15800441009
