|
Background: |
The protein encoded by this gene is a type II transmembrane serine proteinase that is found attached to the cell surface. The encoded protein may be involved in matrix remodeling processes in the liver. Alternative splicing results in multiple transcript variants. |
|
Applications: |
ELISA, IHC |
|
Name of antibody: |
TMPRSS6 |
|
Immunogen: |
Synthetic peptide of human TMPRSS6 |
|
Full name: |
transmembrane protease, serine 6 |
|
Synonyms: |
IRIDA |
|
SwissProt: |
Q8IU80 |
|
ELISA Recommended dilution: |
2000-5000 |
|
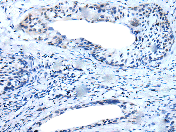
IHC positive control: |
Human cervical cancer |
|
IHC Recommend dilution: |
10-50 |
購(gòu)物車
幫助
021-54845833/15800441009
