|
Background: |
This gene is a member of the DNA polymerase type-X family and encodes a template-independent DNA polymerase that catalyzes the addition of deoxynucleotides to the 3'-hydroxyl terminus of oligonucleotide primers. In vivo, the encoded protein is expressed in a restricted population of normal and malignant pre-B and pre-T lymphocytes during early differentiation, where it generates antigen receptor diversity by synthesizing non-germ line elements (N-regions) at the junctions of rearranged Ig heavy chain and T cell receptor gene segments. Alternatively spliced transcript variants encoding different isoforms of this gene have been described. |
|
Applications: |
ELISA, IHC |
|
Name of antibody: |
DNTT |
|
Immunogen: |
Fusion protein of human DNTT |
|
Full name: |
DNA nucleotidylexotransferase |
|
Synonyms: |
TDT |
|
SwissProt: |
P04053 |
|
ELISA Recommended dilution: |
5000-10000 |
|
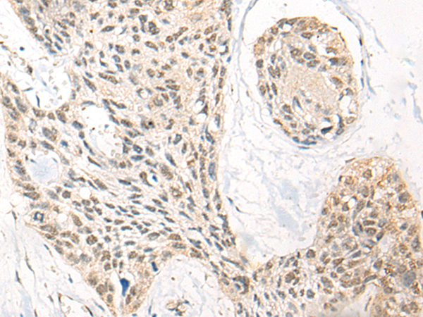
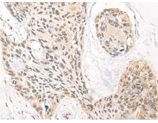
IHC positive control: |
Human esophagus cancer |
|
IHC Recommend dilution: |
20-100 |
購物車
幫助
021-54845833/15800441009
