中文名稱:兔抗C12orf10多克隆抗體
|
Background: |
C12orf10, also known as MYG1, MYG1 is a 376 amino acid nucleo-mitochondrial protein belonging to the UPF0160 (MYG1) family. MYG1 is encoded by a gene that maps to human chromosome 12q13.13 and is ubiquitously expressed in simple as well as complex eukaryotes, with highest levels in testis. Considered to have a metal-dependent protein hydrolase (UPF0160) domain, MYG1 exhibits a mitochondrial targeting signal in the N-terminal region and a Pat7-type nuclear localization signal in the region between amino acids 33-39. Although MYG1 displays differential patterns and levels of expression during embryonic development, expression in normal adult tissues is stable, suggesting MYG1 involvement in early developmental processes and in adult stress/illness conditions. Elevation of MYG1 expression may be also associated with vitiligo susceptibility. |
|
Applications: |
ELISA, WB, IHC |
|
Name of antibody: |
C12orf10 |
|
Immunogen: |
Fusion protein of human C12orf10 |
|
Full name: |
chromosome 12 open reading frame 10 |
|
Synonyms: |
MYG; MYG1; Gamm1; MST024; MSTP024 |
|
SwissProt: |
Q9HB07 |
|
ELISA Recommended dilution: |
5000-10000 |
|
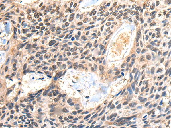
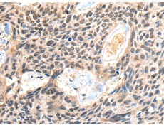
IHC positive control: |
Human esophagus cancer; |
|
IHC Recommend dilution: |
20-100 |
|
WB Predicted band size: |
42 kDa |
|
WB Positive control: |
293T,MCF-7 and PC-3 cell lysates |
|
WB Recommended dilution: |
200-1000 |

購物車
幫助
021-54845833/15800441009
