|
Background: |
This gene encodes a cytokine receptor that specifically binds interleukin 15 (IL15) with high affinity. The receptors of IL15 and IL2 share two subunits, IL2R beta and IL2R gamma. This forms the basis of many overlapping biological activities of IL15 and IL2. The protein encoded by this gene is structurally related to IL2R alpha, an additional IL2-specific alpha subunit necessary for high affinity IL2 binding. Unlike IL2RA, IL15RA is capable of binding IL15 with high affinity independent of other subunits, which suggests distinct roles between IL15 and IL2. This receptor is reported to enhance cell proliferation and expression of apoptosis inhibitor BCL2L1/BCL2-XL and BCL2. Multiple alternatively spliced transcript variants of this gene have been reported. |
|
Applications: |
ELISA, IHC |
|
Name of antibody: |
IL15RA |
|
Immunogen: |
Synthetic peptide of human IL15RA |
|
Full name: |
interleukin 15 receptor, alpha |
|
Synonyms: |
CD215 |
|
SwissProt: |
Q13261 |
|
ELISA Recommended dilution: |
2000-5000 |
|
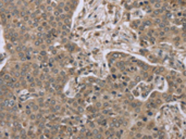
IHC positive control: |
Human liver cancer and Human lung cancer |
|
IHC Recommend dilution: |
50-200 |

購物車
幫助
021-54845833/15800441009
