中文名稱: 兔抗CORO6多克隆抗體
|
Background: |
Coronin-6 also known as coronin-like protein E (Clipin-E) is a protein that in humans is encoded by the CORO6 gene. Coronin-6 is belongs to coronin family which is an actin binding protein. Human CORO6 gene is located on chromosome 17 on the cytogenetic band 17 p11.2. Gene CORO6 is well conserved across domain of eukaryotic organisms from animal to fungi. |
|
Applications: |
ELISA, IHC |
|
Name of antibody: |
CORO6 |
|
Immunogen: |
Full length fusion protein |
|
Full name: |
coronin 6 |
|
SwissProt: |
Q6QEF8 |
|
ELISA Recommended dilution: |
5000-10000 |
|
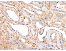
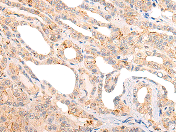
IHC positive control: |
Human thyroid cancer |
|
IHC Recommend dilution: |
25-100 |
購(gòu)物車(chē)
幫助
021-54845833/15800441009
