中文名稱:兔抗APLF多克隆抗體
|
Background: |
C2ORF13 is a component of the cellular response to chromosomal DNA single- and double-strand breaks. Nuclease involved in single-strand and double-strand DNA break repair. Recruited to sites of DNA damage through interaction with poly(ADP-ribose), a polymeric post-translational modification synthesized transiently at sites of chromosomal damage to accelerate DNA strand break repair reactions. Displays apurinic-apyrimidinic (AP) endonuclease and 3'-5' exonuclease activities in vitro. |
|
Applications: |
ELISA, IHC |
|
Name of antibody: |
APLF |
|
Immunogen: |
Fusion protein of human APLF |
|
Full name: |
aprataxin and PNKP like factor |
|
Synonyms: |
APFL; PALF; Xip1; C2orf13 |
|
SwissProt: |
Q8IW19 |
|
ELISA Recommended dilution: |
2000-5000 |
|
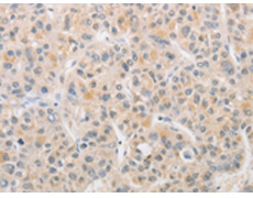
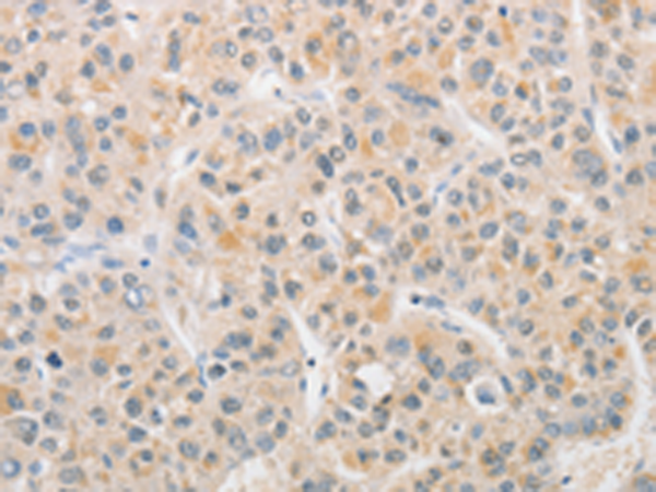
IHC positive control: |
Human liver cancer and Human gastric cancer |
|
IHC Recommend dilution: |
25-100 |
購(gòu)物車
幫助
021-54845833/15800441009
