|
Background: |
This nuclear gene encodes a mitochondrial protein tyrosine aminotransferase which is present in the liver and catalyzes the conversion of L-tyrosine into p-hydroxyphenylpyruvate. Mutations in this gene cause tyrosinemia (type II, Richner-Hanhart syndrome), a disorder accompanied by major skin and corneal lesions, with possible mental retardation. A regulator gene for tyrosine aminotransferase is X-linked. |
|
Applications: |
ELISA, WB, IHC |
|
Name of antibody: |
TAT |
|
Immunogen: |
Fusion protein of human TAT |
|
Full name: |
tyrosine aminotransferase |
|
SwissProt: |
P17735 |
|
ELISA Recommended dilution: |
1000-2000 |
|
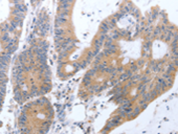
IHC positive control: |
Human colon cancer and Human liver cancer |
|
IHC Recommend dilution: |
25-100 |
|
WB Predicted band size: |
50 kDa |
|
WB Positive control: |
Human normal liver tissue |
|
WB Recommended dilution: |
200-1000 |

購物車
幫助
021-54845833/15800441009
