中文名稱: 兔抗APH1A多克隆抗體
|
Background: |
This gene encodes a component of the gamma secretase complex that cleaves integral membrane proteins such as Notch receptors and beta-amyloid precursor protein. The gamma secretase complex contains this gene product, or the paralogous anterior pharynx defective 1 homolog B (APH1B), along with the presenilin, nicastrin, and presenilin enhancer-2 proteins. The precise function of this seven-transmembrane-domain protein is unknown though it is suspected of facilitating the association of nicastrin and presenilin in the gamma secretase complex as well as interacting with substrates of the gamma secretase complex prior to their proteolytic processing. Polymorphisms in a promoter region of this gene have been associated with an increased risk for developing sporadic Alzheimer's disease. Alternative splicing results in multiple protein-coding and non-protein-coding transcript variants. |
|
Applications: |
ELISA, IHC |
|
Name of antibody: |
APH1A |
|
Immunogen: |
Synthetic peptide of human APH1A |
|
Full name: |
APH1A gamma secretase subunit |
|
Synonyms: |
APH-1; APH-1A; CGI-78; 6530402N02Rik |
|
SwissProt: |
Q96BI3 |
|
ELISA Recommended dilution: |
2000-5000 |
|
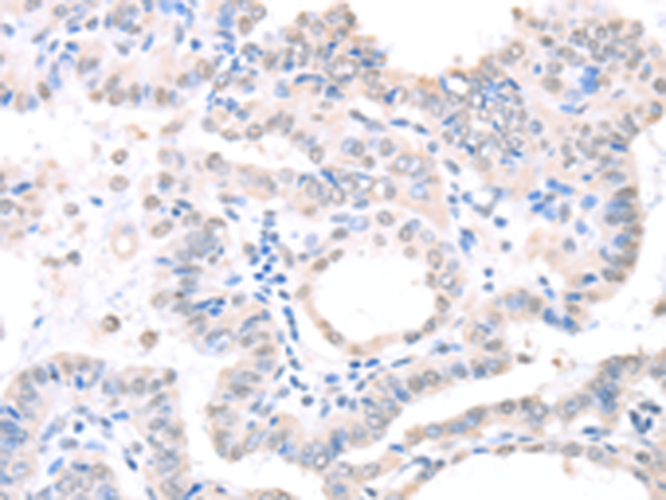
IHC positive control: |
Human thyroid cancer |
|
IHC Recommend dilution: |
20-100 |
購(gòu)物車(chē)
幫助
021-54845833/15800441009
