|
Background: |
This gene encodes an enzyme with hydroxypyruvate reductase, glyoxylate reductase, and D-glycerate dehydrogenase enzymatic activities. The enzyme has widespread tissue expression and has a role in metabolism. Type II hyperoxaluria is caused by mutations in this gene. |
|
Applications: |
ELISA, WB, IHC |
|
Name of antibody: |
GRHPR |
|
Immunogen: |
Synthetic peptide of human GRHPR |
|
Full name: |
glyoxylate and hydroxypyruvate reductase |
|
Synonyms: |
PH2; GLXR; GLYD |
|
SwissProt: |
Q9UBQ7 |
|
ELISA Recommended dilution: |
5000-10000 |
|
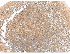
IHC positive control: |
Human tonsil |
|
IHC Recommend dilution: |
30-150 |
|
WB Predicted band size: |
36 kDa |
|
WB Positive control: |
Mouse liver tissue lysate |
|
WB Recommended dilution: |
500-2000 |


購物車
幫助
021-54845833/15800441009
