中文名稱:兔抗APMAP多克隆抗體
|
Background: |
C20orf3, also known as APMAP (adipocyte plasma membrane-associated protein), is a 416 amino acid single-pass type II membrane protein that belongs to the strictosidine synthase family and is thought to play a role in adipocyte differentiation. The gene encoding C20orf3 maps to human chromosome 20, which houses over 600 genes some of which are associated with Creutzfeldt-Jakob disease, amyotrophic lateral sclerosis, spinal muscular atrophy, ring chromosome 20 epilepsy syndrome and Alagille syndrome. Additionally, chromosome 20 contains a region with numerous genes which are thought important for seminal production and may be potential targets for male contraception |
|
Applications: |
ELISA, WB, IHC |
|
Name of antibody: |
APMAP |
|
Immunogen: |
Synthetic peptide of human APMAP |
|
Full name: |
adipocyte plasma membrane associated protein |
|
Synonyms: |
BSCv; C20orf3 |
|
SwissProt: |
Q9HDC9 |
|
ELISA Recommended dilution: |
2000-5000 |
|
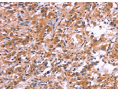
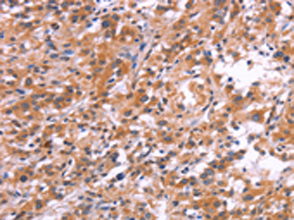
IHC positive control: |
Human thyroid cancer and Human brain |
|
IHC Recommend dilution: |
25-100 |
|
WB Predicted band size: |
46 kDa |
|
WB Positive control: |
Human placenta and fetal liver tissue,231 cells |
|
WB Recommended dilution: |
500-2000 |
購物車
幫助
021-54845833/15800441009
