中文名稱: 兔抗DDX58多克隆抗體
|
Background: |
DEAD box proteins, characterized by the conserved motif Asp-Glu-Ala-Asp (DEAD), are putative RNA helicases which are implicated in a number of cellular processes involving RNA binding and alteration of RNA secondary structure. This gene encodes a protein containing RNA helicase-DEAD box protein motifs and a caspase recruitment domain (CARD). It is involved in viral double-stranded (ds) RNA recognition and the regulation of immune response. |
|
Applications: |
ELISA, IHC |
|
Name of antibody: |
DDX58 |
|
Immunogen: |
Synthetic peptide of human DDX58 |
|
Full name: |
DEAD (Asp-Glu-Ala-Asp) box polypeptide 58 |
|
Synonyms: |
RIGI; RIG-I; RLR-1; SGMRT2 |
|
SwissProt: |
O95786 |
|
ELISA Recommended dilution: |
2000-10000 |
|
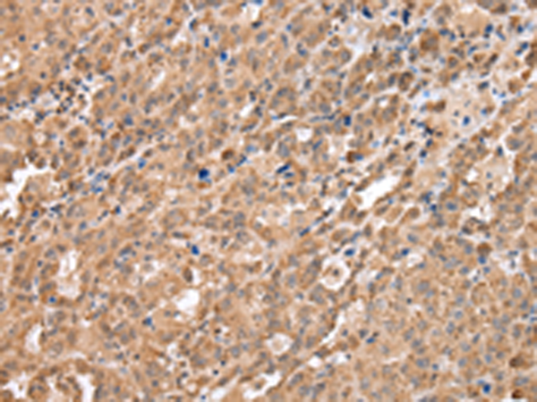
IHC positive control: |
Human ovarian cancer |
|
IHC Recommend dilution: |
30-150 |

購物車
幫助
021-54845833/15800441009
