中文名稱: 兔抗UBE2I多克隆抗體
|
Background: |
The modification of proteins with ubiquitin is an important cellular mechanism for targeting abnormal or short-lived proteins for degradation. Ubiquitination involves at least three classes of enzymes: ubiquitin-activating enzymes, or E1s, ubiquitin-conjugating enzymes, or E2s, and ubiquitin-protein ligases, or E3s. This gene encodes a member of the E2 ubiquitin-conjugating enzyme family. Four alternatively spliced transcript variants encoding the same protein have been found for this gene. |
|
Applications: |
ELISA, WB, IHC |
|
Name of antibody: |
UBE2I |
|
Immunogen: |
Synthetic peptide of human UBE2I |
|
Full name: |
ubiquitin-conjugating enzyme E2I |
|
Synonyms: |
P18; UBC9; C358B7.1 |
|
SwissProt: |
P63279 |
|
ELISA Recommended dilution: |
1000-2000 |
|
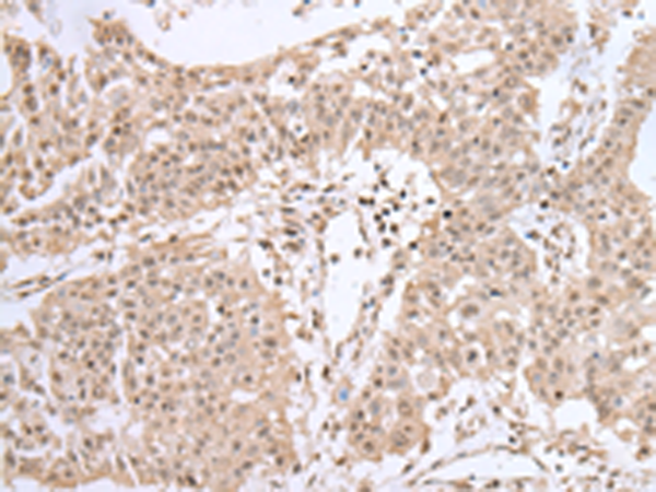
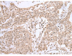
IHC positive control: |
Human tonsil and Human brain |
|
IHC Recommend dilution: |
25-100 |
|
WB Predicted band size: |
18 kDa |
|
WB Positive control: |
TM4, hela and 293T cell |
|
WB Recommended dilution: |
200-1000 |

購(gòu)物車
幫助
021-54845833/15800441009
