|
Background: |
This gene encodes a member of the forkhead class of DNA-binding proteins. These hepatocyte nuclear factors are transcriptional activators for liver-specific transcripts such as albumin and transthyretin, and they also interact with chromatin. Similar family members in mice have roles in the regulation of metabolism and in the differentiation of the pancreas and liver. |
|
Applications: |
ELISA, WB, IHC |
|
Name of antibody: |
FOXA1 |
|
Immunogen: |
Synthetic peptide of human FOXA1 |
|
Full name: |
forkhead box A1 |
|
Synonyms: |
HNF3A; TCF3A |
|
SwissProt: |
P55317 |
|
ELISA Recommended dilution: |
1000-2000 |
|
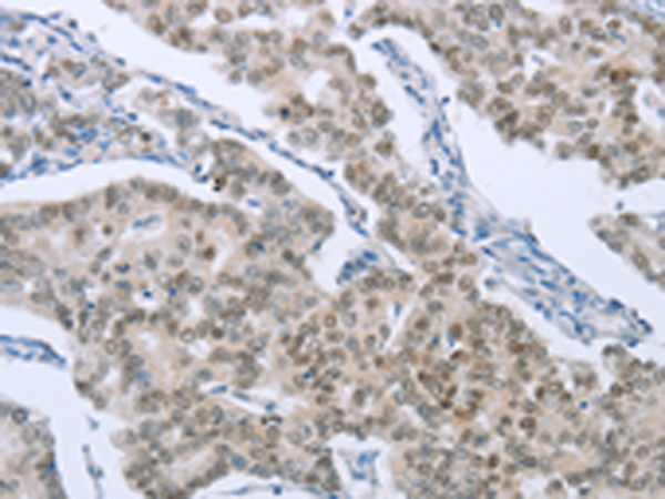
IHC positive control: |
Human breast cancer |
|
IHC Recommend dilution: |
50-200 |
|
WB Predicted band size: |
49 kDa |
|
WB Positive control: |
Human prostate tissue and MCF-7 cells |
|
WB Recommended dilution: |
200-1000 |

購(gòu)物車
幫助
021-54845833/15800441009
