中文名稱:兔抗ATMIN多克隆抗體
|
Background: |
Transcription factor. Plays a crucial role in cell survival and RAD51 foci formation in response to methylating DNA damage. Involved in regulating the activity of ATM in the absence of DNA damage. May play a role in stabilizing ATM. Binds to the DYNLL1 promoter and activates its transcription. |
|
Applications: |
ELISA, IHC |
|
Name of antibody: |
ATMIN |
|
Immunogen: |
Fusion protein of human ATMIN |
|
Full name: |
ATM interactor |
|
Synonyms: |
ASCIZ; ZNF822 |
|
SwissProt: |
O43313 |
|
ELISA Recommended dilution: |
5000-10000 |
|
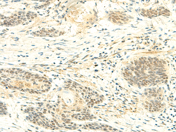
IHC positive control: |
Human esophagus cancer |
|
IHC Recommend dilution: |
50-300 |

購物車
幫助
021-54845833/15800441009
