中文名稱: 兔抗GFRA3多克隆抗體
|
Background: |
GDNF family receptor alpha-3 is a protein that in humans is encoded by the GFRA3 gene. The protein encoded by this gene is a glycosylphosphatidylinositol(GPI)-linked cell surface receptor and a member of the GDNF receptor family. It forms a signaling receptor complex with RET tyrosine kinase receptor and binds the ligand, artemin. Widely expressed in adult and fetus which exhibit a similar pattern. Essentially not expressed in the central nervous system, but highly expressed in several sensory and sympathetic ganglia of the peripheral nervous system. Moderate expression in many non-neuronal tissues, particularly those of the digestive and urogenital systems, but high expression in stomach and appendix. Several types of glandular tissues show low expression. |
|
Applications: |
ELISA, WB, IHC |
|
Name of antibody: |
GFRA3 |
|
Immunogen: |
Synthetic peptide of human GFRA3 |
|
Full name: |
GDNF family receptor alpha 3 |
|
SwissProt: |
O60609 |
|
ELISA Recommended dilution: |
1000-5000 |
|
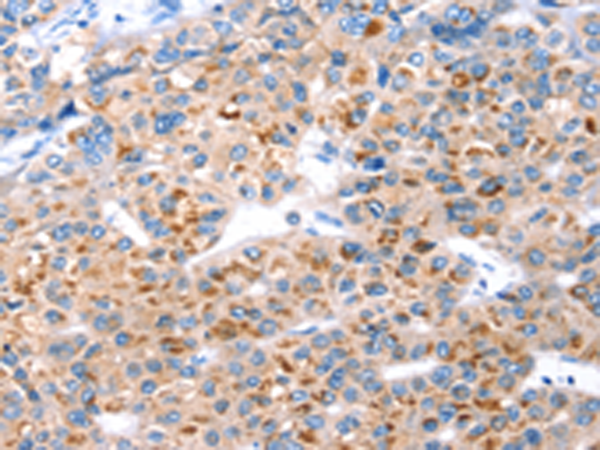
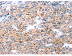
IHC positive control: |
Human liver cancer |
|
IHC Recommend dilution: |
20-100 |
|
WB Predicted band size: |
44 kDa |
|
WB Positive control: |
Human fetal kidney and brain tissue |
|
WB Recommended dilution: |
1000-3000 |


購物車
幫助
021-54845833/15800441009
