|
Background: |
This gene encodes a member of the grainyhead family of transcription factors. The encoded protein can exist as a homodimer or can form heterodimers with sister-of-mammalian grainyhead or brother-of-mammalian grainyhead. This protein functions as a transcription factor during development. [provided by RefSeq, Jun 2009] |
|
Applications: |
ELISA, WB, IHC |
|
Name of antibody: |
GRHL1 |
|
Immunogen: |
Synthetic peptide of human GRHL1 |
|
Full name: |
grainyhead like transcription factor 1 |
|
Synonyms: |
MGR; NH32; LBP32; TFCP2L2 |
|
SwissProt: |
Q9NZI5 |
|
ELISA Recommended dilution: |
5000-10000 |
|
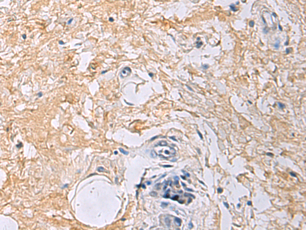
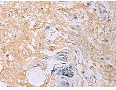
IHC positive control: |
Human gastric cancer |
|
IHC Recommend dilution: |
50-100 |
|
WB Predicted band size: |
70 kDa |
|
WB Positive control: |
Mouse brain tissue lysate |
|
WB Recommended dilution: |
500-2000 |


購物車
幫助
021-54845833/15800441009
