|
WB Recommended dilution: |
200-1000 |
|
WB Positive control: |
Human placenta tissue and A431 cell |
|
WB Predicted band size: |
22 kDa |
|
IHC Recommend dilution: |
50-200 |
|
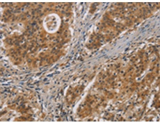
IHC positive control: |
Human tonsil and human gastric cancer |
|
ELISA Recommended dilution: |
5000-10000 |
|
SwissProt: |
Q8TAD2 |
|
Synonyms: |
IL27; IL-27; IL-17D |
|
Full name: |
interleukin 17D |
|
Immunogen: |
Synthetic peptide of human IL17D |
|
Name of antibody: |
IL17D |
|
Applications: |
ELISA, WB, IHC |
|
Background: |
The protein encoded by this gene is a cytokine that shares the sequence similarity with IL17. The treatment of endothelial cells with this cytokine has been shown to stimulate the production of other cytokines including IL6, IL8 and CSF2/ GM-CSF. The increased expression of IL8 induced by this cytokine was found to be NF-kappa B-dependent. |



購物車
幫助
021-54845833/15800441009
