中文名稱:兔抗ZMYND10多克隆抗體
|
Background: |
This gene encodes a protein containing a MYND-type zinc finger domain that likely functions in assembly of the dynein motor. Mutations in this gene can cause primary ciliary dyskinesia. This gene is also considered a tumor suppressor gene and is often mutated, deleted, or hypermethylated and silenced in cancer cells. Alternative splicing results in multiple transcript variants. |
|
Applications: |
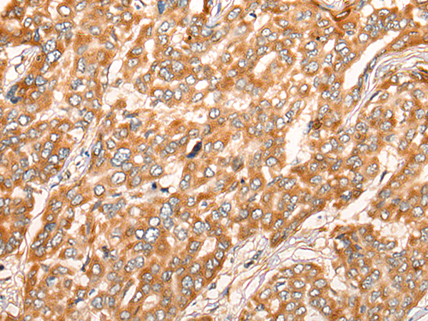
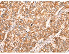
ELISA, IHC |
|
Name of antibody: |
ZMYND10 |
|
Immunogen: |
Fusion protein of human ZMYND10 |
|
Full name: |
zinc finger MYND-type containing 10 |
|
Synonyms: |
BLU; FLU; CILD22 |
|
SwissProt: |
O75800 |
|
ELISA Recommended dilution: |
5000-10000 |
|
IHC positive control: |
Human liver cancer and Human thyroid cancer |
|
IHC Recommend dilution: |
30-150 |

購物車
幫助
021-54845833/15800441009
