|
Background: |
The major pathway for the biosynthesis of phosphatidylcholine occurs via the CDP-choline pathway. The protein encoded by this gene is the initial enzyme in the sequence and may play a regulatory role. The encoded protein also catalyzes the phosphorylation of ethanolamine. Two transcript variants encoding different isoforms have been found for this gene. |
|
Applications: |
ELISA, IHC |
|
Name of antibody: |
CHKA |
|
Immunogen: |
Synthetic peptide of human CHKA |
|
Full name: |
choline kinase alpha |
|
Synonyms: |
CK; EK; CHK; CKI |
|
SwissProt: |
P35790 |
|
ELISA Recommended dilution: |
5000-10000 |
|
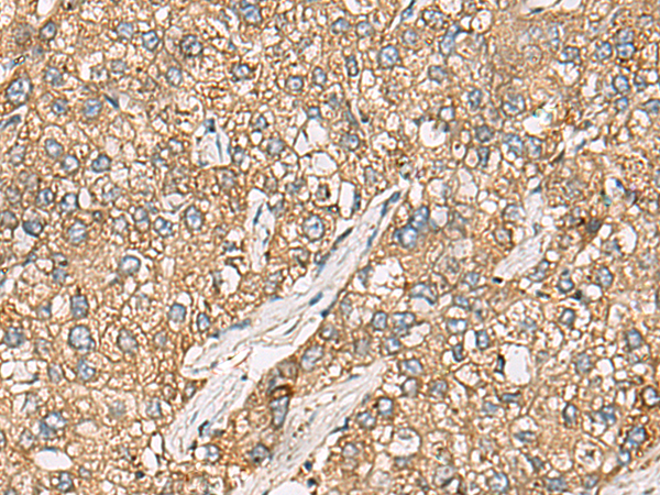
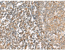
IHC positive control: |
Human liver cancer and Human tonsil |
|
IHC Recommend dilution: |
50-100 |

購(gòu)物車
幫助
021-54845833/15800441009
