中文名稱:兔抗CDKN2B多克隆抗體
英文名稱: Anti-CDKN2B rabbit polyclonal antibody
相關類別: 一抗
儲 存: 冷凍(-20℃) 避光
抗 原: CDKN2B
反應種屬: Human Mouse Rat
標 記 物: Unconjugate
克隆類型: Unconjugate
|
Background: |
This gene lies adjacent to the tumor suppressor gene CDKN2A in a region that is frequently mutated and deleted in a wide variety of tumors. This gene encodes a cyclin-dependent kinase inhibitor, which forms a complex with CDK4 or CDK6, and prevents the activation of the CDK kinases, thus the encoded protein functions as a cell growth regulator that controls cell cycle G1 progression. |
|
Applications: |
WB, IHC, IF |
|
Name of antibody: |
CDKN2B |
|
Immunogen: |
Synthesized peptide derived from human p15 INK antibody. |
|
Full name: |
cyclin-dependent kinase inhibitor 2B (p15, inhibits CDK4) |
|
Synonyms: |
P15; MTS2; TP15; CDK4I; INK4B; p15INK4b |
|
SwissProt: |
P42772 |
|
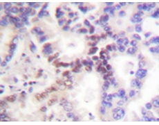
IHC positive control: |
Human lung carcinoma tissue |
|
IHC Recommend dilution: |
50-100 |
|
WB Predicted band size: |
15 kDa |
|
WB Positive control: |
Hela cells lysate |
|
WB Recommended dilution: |
500-3000 |
|
IF positive control: |
Hela cells |
|
IF Recommend dilution: |
100-500 |



購物車
幫助
021-54845833/15800441009
