|
Background: |
Divalent cation-dependent acid DNA endonuclease involved in the breakdown of the nucleus during corneocyte formation of epidermal keratinocytes. May play an immune role by eliminating harmful DNA released into the extracellular environment by damaged epidermal cells. |
|
Applications: |
ELISA, IHC |
|
Name of antibody: |
DNASE1L2 |
|
Immunogen: |
Synthetic peptide of human DNASE1L2 |
|
Full name: |
deoxyribonuclease I-like 2 |
|
Synonyms: |
DNAS1L2 |
|
SwissProt: |
Q92874 |
|
ELISA Recommended dilution: |
5000-10000 |
|
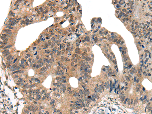
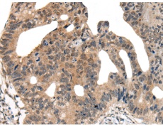
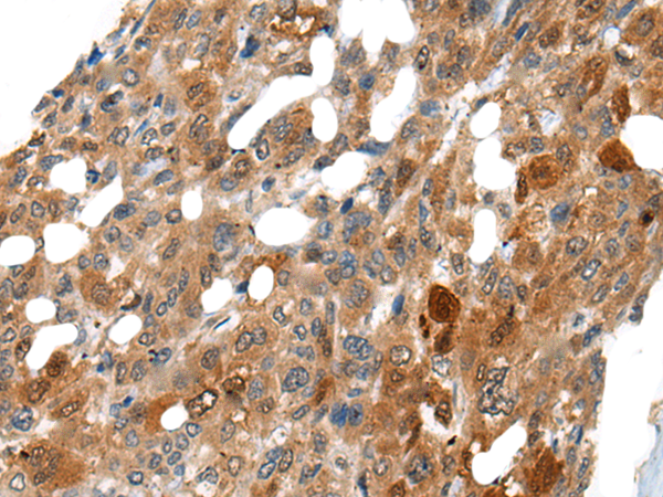
IHC positive control: |
Human liver cancer and human colorectal cancer |
|
IHC Recommend dilution: |
25-100 |

購物車
幫助
021-54845833/15800441009
