|
Background: |
This gene encodes UDP-GalNAc transferase 3, a member of the GalNAc-transferases family. This family transfers an N-acetyl galactosamine to the hydroxyl group of a serine or threonine residue in the first step of O-linked oligosaccharide biosynthesis. Individual GalNAc-transferases have distinct activities and initiation of O-glycosylation is regulated by a repertoire of GalNAc-transferases. The protein encoded by this gene is highly homologous to other family members, however the enzymes have different substrate specificities. [provided by RefSeq, Jul 2008] |
|
Applications: |
ELISA, IHC |
|
Name of antibody: |
GALNT3 |
|
Immunogen: |
Fusion protein of human GALNT3 |
|
Full name: |
polypeptide N-acetylgalactosaminyltransferase 3 |
|
Synonyms: |
HHS; HFTC; HFTC1; GalNAc-T3 |
|
SwissProt: |
Q14435 |
|
ELISA Recommended dilution: |
5000-10000 |
|
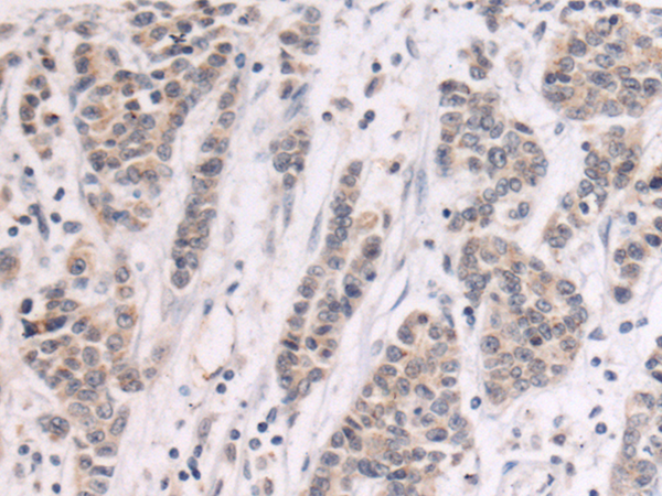
IHC positive control: |
Human colorectal cancer |
|
IHC Recommend dilution: |
50-200 |

購物車
幫助
021-54845833/15800441009
