中文名稱:兔抗CLEC12A多克隆抗體
|
Background: |
This gene encodes a member of the C-type lectin/C-type lectin-like domain (CTL/CTLD) superfamily. Members of this family share a common protein fold and have diverse functions, such as cell adhesion, cell-cell signaling, glycoprotein turnover, and roles in inflammation and immune response. The protein encoded by this gene is a negative regulator of granulocyte and monocyte function. Several alternatively spliced transcript variants of this gene have been described, but the full-length nature of some of these variants has not been determined. This gene is closely linked to other CTL/CTLD superfamily members in the natural killer gene complex region on chromosome 12p13. |
|
Applications: |
ELISA, IHC |
|
Name of antibody: |
CLEC12A |
|
Immunogen: |
Synthetic peptide of human CLEC12A |
|
Full name: |
C-type lectin domain family 12 member A |
|
Synonyms: |
CLL1; MICL; CD371; CLL-1; DCAL-2 |
|
SwissProt: |
Q5QGZ9 |
|
ELISA Recommended dilution: |
5000-10000 |
|
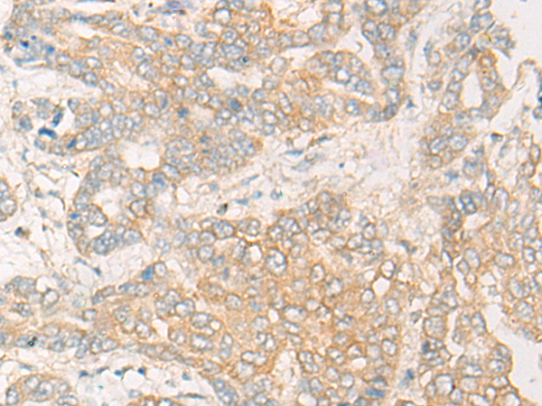
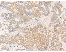
IHC positive control: |
Human liver cancer |
|
IHC Recommend dilution: |
20-100 |
購物車
幫助
021-54845833/15800441009
