|
Background: |
The interleukin 2 (IL2) receptor alpha (IL2RA) and beta (IL2RB) chains, together with the common gamma chain (IL2RG), constitute the high-affinity IL2 receptor. Homodimeric alpha chains (IL2RA) result in low-affinity receptor, while homodimeric beta (IL2RB) chains produce a medium-affinity receptor. Normally an integral-membrane protein, soluble IL2RA has been isolated and determined to result from extracellular proteolyisis. Alternately-spliced IL2RA mRNAs have been isolated, but the significance of each is presently unknown. Mutations in this gene are associated with interleukin 2 receptor alpha deficiency |
|
Applications: |
ELISA, IHC |
|
Name of antibody: |
IL2RA |
|
Immunogen: |
Synthetic peptide of human IL2RA |
|
Full name: |
interleukin 2 receptor, alpha |
|
Synonyms: |
CD25, IL2R, TCGFR, IDDM10 |
|
SwissProt: |
P01589 |
|
ELISA Recommended dilution: |
1000-10000 |
|
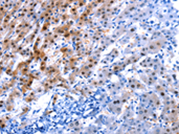
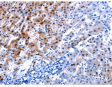
IHC positive control: |
Human liver cancer |
|
IHC Recommend dilution: |
25-100 |

購(gòu)物車
幫助
021-54845833/15800441009
