中文名稱:兔抗ADIPOR2多克隆抗體
|
Background: |
The adiponectin receptors, ADIPOR1 (MIM 607945) and ADIPOR2, serve as receptors for globular and full-length adiponectin (MIM 605441) and mediate increased AMPK (see MIM 602739) and PPAR-alpha (PPARA; MIM 170998) ligand activities, as well as fatty acid oxidation and glucose uptake by adiponectin . |
|
Applications: |
ELISA, IHC |
|
Name of antibody: |
ADIPOR2 |
|
Immunogen: |
Synthetic peptide of human ADIPOR2 |
|
Full name: |
adiponectin receptor 2 |
|
Synonyms: |
PAQR2; ACDCR2 |
|
SwissProt: |
Q86V24 |
|
ELISA Recommended dilution: |
2000-5000 |
|
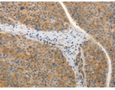
IHC positive control: |
Human liver cancer and Human lung cancer |
|
IHC Recommend dilution: |
25-100 |
購物車
幫助
021-54845833/15800441009
