|
Background: |
The protein encoded by this gene is a member of the STAT family of transcription factors. In response to cytokines and growth factors, STAT family members are phosphorylated by the receptor associated kinases, and then form homo- or heterodimers that translocate to the cell nucleus where they act as transcription activators. This protein is essential for mediating responses to IL12 in lymphocytes, and regulating the differentiation of T helper cells. Mutations in this gene may be associated with systemic lupus erythematosus and rheumatoid arthritis. Alternate splicing results in multiple transcript variants that encode the same protein. |
|
Applications: |
WB, IHC |
|
Name of antibody: |
STAT4 (Phospho-Tyr693) |
|
Immunogen: |
Synthetic peptide of human STAT4 (Phospho-Tyr693) |
|
Full name: |
signal transducer and activator of transcription 4 (Phospho-Tyr693) |
|
Synonyms: |
SLEB11 |
|
SwissProt: |
Q14765 |
|
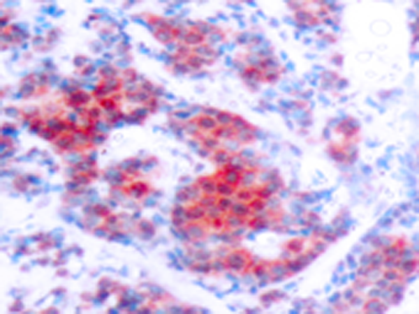
IHC positive control: |
Human breast carcinoma |
|
IHC Recommend dilution: |
50-100 |
|
WB Predicted band size: |
86 kDa |
|
WB Positive control: |
HepG2 cells treated with IL-4 |
|
WB Recommended dilution: |
500-1000 |

購物車
幫助
021-54845833/15800441009
