中文名稱:兔抗CDH19多克隆抗體
英文名稱: Anti-CDH19 rabbit polyclonal antibody
別 名: cadherin 19; CDH7; CDH7L2
|
Background: |
This gene is one of three related type II cadherin genes situated in a cluster on chromosome 18. The encoded protein is a calcium dependent cell-cell adhesion glycoprotein containing five extracellular cadherin repeats. Loss of cadherins may be associated with cancer formation. Alternative splicing results in multiple transcript variants for this gene. |
|
Applications: |
ELISA, IHC |
|
Name of antibody: |
CDH19 |
|
Immunogen: |
Fusion protein of human CDH19 |
|
Full name: |
cadherin 19 |
|
Synonyms: |
CDH7; CDH7L2 |
|
SwissProt: |
Q9H159 |
|
ELISA Recommended dilution: |
5000-10000 |
|
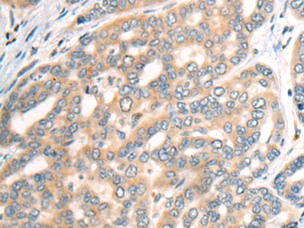
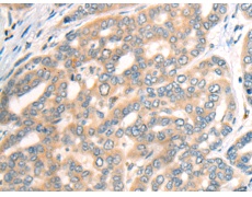
IHC positive control: |
Human liver cancer |
|
IHC Recommend dilution: |
25-100 |

購物車
幫助
021-54845833/15800441009
