|
Background: |
The protein encoded by this intronless gene belongs to the highly variable methyltransferase superfamily. This gene is the inferred homolog of the Saccharomyces cerevisiae carboxymethyltransferase gene PPM2 that is essential for the synthesis of the hypermodified guanosine Wybutosine (yW). |
|
Applications: |
ELISA, IHC |
|
Name of antibody: |
LCMT2 |
|
Immunogen: |
Fusion protein of human LCMT2 |
|
Full name: |
leucine carboxyl methyltransferase 2 |
|
Synonyms: |
PPM2; TYW4 |
|
SwissProt: |
O60294 |
|
ELISA Recommended dilution: |
2000-5000 |
|
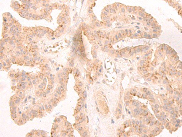
IHC positive control: |
Human colorectal cancer |
|
IHC Recommend dilution: |
50-300 |

購物車
幫助
021-54845833/15800441009
