Background:
This gene encodes a transmembrane protein which has been localized to adherens junctions and shown to bind to myosin VIIA. Examination of expression of this gene in gastric cancer tissues have shown that expression is decreased which appears to be related to hypermethylation of the promoter. Expression of this gene may also be inhibited by binding of a specific microRNA to a target sequence in the 3' UTR of the transcripts. A pseudogene of this gene is located on the X chromosome. Alternative splicing results in multiple transcript variants.
Applications:
ELISA, IHC
Name of antibody:
VEZT
Immunogen:
Synthetic peptide of human VEZT
Full name:
vezatin, adherens junctions transmembrane protein
Synonyms:
VEZATIN
SwissProt:
Q9HBM0
ELISA Recommended dilution:
5000-10000
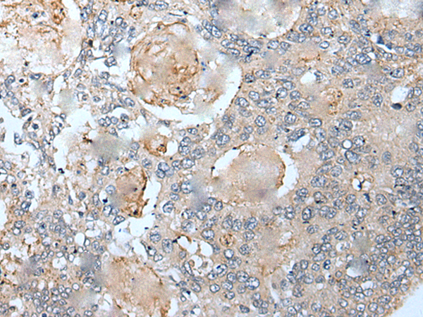
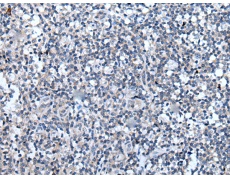
IHC positive control:
Human colorectal cancer and human tonsil
IHC Recommend dilution:
20-100


購(gòu)物車(chē)
幫助
021-54845833/15800441009
