中文名稱 : 兔抗ZDHHC20多克隆抗體
|
Background: |
Zinc-finger proteins contain DNA-binding domains and have a wide variety of functions, most of which encompass some form of transcriptional activation or repression. ZDHHC20 (zinc finger, DHHC-type containing 20) is a 365 amino acid multi-pass membrane protein that contains one DHHC-type zinc finger and is thought to function as a palmitoyltransferase, catalyzing the transformation of palmitoyl-CoA and a cysteine-conjugated protein to an S-palmitoyl protein and free CoA. In response to DNA damage, ZDHHC20, which exists as multiple alternatively spliced isoforms, may be phosphorylated by ATM or ATR. The gene encoding ZDHHC20 maps to human chromosome 13, which houses over 400 genes, such as BRCA2 and RB1, and comprises nearly 4% of the human genome. |
|
Applications: |
ELISA, IHC |
|
Name of antibody: |
ZDHHC20 |
|
Immunogen: |
Fusion protein of human ZDHHC20 |
|
Full name: |
zinc finger, DHHC-type containing 20 |
|
Synonyms: |
DHHC-20; 4933421L13Rik |
|
SwissProt: |
Q5W0Z9 |
|
ELISA Recommended dilution: |
2000-5000 |
|
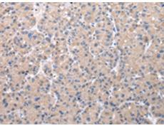
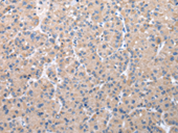
IHC positive control: |
Human thyroid cancer and Human esophagus cancer |
|
IHC Recommend dilution: |
25-100 |
購物車
幫助
021-54845833/15800441009
