中文名稱:兔抗ARMC8多克隆抗體
|
Background: |
The armadillo (ARM) repeat family of proteins are related to the Drosophila melanogaster armadillo protein, a protein essential for wingless signal transduction. ARM proteins are involved in a variety of processes such as cell migration, cell proliferation, tissue maintenance and tumorigenesis, and they also function in signal transduction and the maintenance of overall cell structure. ARMC8 (armadillo repeat containing 8), also known as S863-2, is a 673 amino acid protein that contains 14 ARM repeats, suggesting a role in signal transduction events throughout the cell. Six isoforms of ARMC8 are expressed due to alternative splicing events. The gene encoding ARMC8 maps to human chromosome 3, which houses over 1,100 genes, including a chemokine receptor (CKR) gene cluster and a variety of human cancer-related gene loci. |
|
Applications: |
ELISA, IHC |
|
Name of antibody: |
ARMC8 |
|
Immunogen: |
Fusion protein of human ARMC8 |
|
Full name: |
armadillo repeat containing 8 |
|
Synonyms: |
GID5; VID28; S863-2; HSPC056 |
|
SwissProt: |
Q8IUR7 |
|
ELISA Recommended dilution: |
5000-10000 |
|
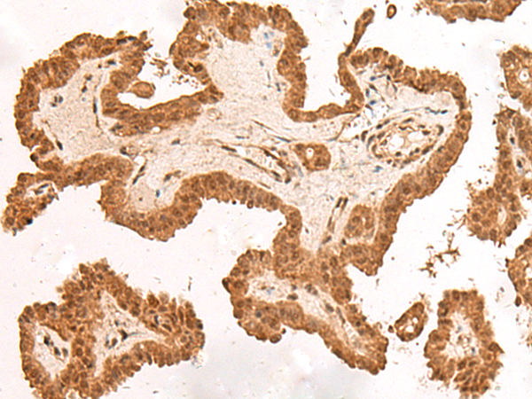
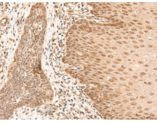
IHC positive control: |
Human esophagus cancer and Human thyroid cancer |
|
IHC Recommend dilution: |
40-200 |
購物車
幫助
021-54845833/15800441009
