|
Background: |
This gene encodes a member of the vitamin B12-binding protein family. This family of proteins, alternatively referred to as R binders, is expressed in various tissues and secretions. This plasma protein binds cobalamin and mediates the transport of cobalamin into cells. This protein and other mammalian cobalamin-binding proteins, such as transcobalamin I and gastric intrisic factor, may have evolved by duplication of a common ancestral gene. Alternative splicing results in multiple transcript variants. |
|
Applications: |
WB, IHC |
|
Name of antibody: |
TCN2 |
|
Immunogen: |
Fusion protein of human TCN2 |
|
Full name: |
transcobalamin II |
|
Synonyms: |
II; TC; TC2; TC-2; TCII; TC II; D22S676; D22S750 |
|
SwissProt: |
P20062 |
|
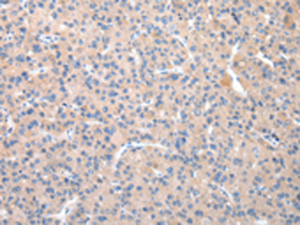
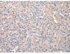
IHC positive control: |
Human liver cancer |
|
IHC Recommend dilution: |
25-100 |
|
WB Predicted band size: |
48 kDa |
|
WB Positive control: |
Human bladder carcinoma tissue |
|
WB Recommended dilution: |
500-2000 |

購物車
幫助
021-54845833/15800441009
