|
Background: |
The protein encoded by this gene is a single-stranded DNA (ssDNA)-specific exonuclease that can slide along the DNA before cutting it. However, human replication protein A binds ssDNA and restricts sliding of the encoded protein, providing a 5'-directionality to the enzyme. This protein localizes to nuclear repair loci after DNA damage. |
|
Applications: |
ELISA, IHC |
|
Name of antibody: |
EXO5 |
|
Immunogen: |
Fusion protein of human EXO5 |
|
Full name: |
exonuclease 5 |
|
Synonyms: |
DEM1; Exo V; hExo5; C1orf176 |
|
SwissProt: |
Q9H790 |
|
ELISA Recommended dilution: |
5000-10000 |
|
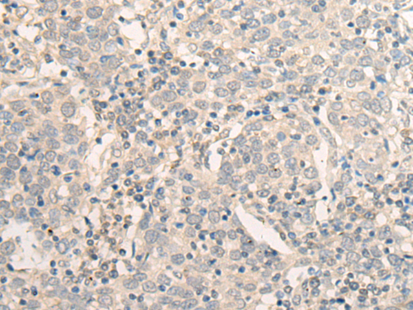
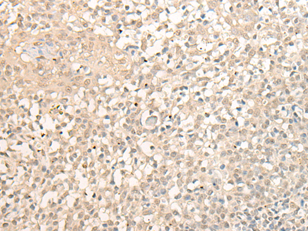
IHC positive control: |
Human tonsil and Human cervical cancer |
|
IHC Recommend dilution: |
25-100 |

購物車
幫助
021-54845833/15800441009
