|
Background: |
The protein encoded by this gene belongs to a series of ectoenzymes that are involved in hydrolysis of extracellular nucleotides. These ectoenzymes possess ATPase and ATP pyrophosphatase activities and are type II transmembrane proteins. Expression of the related rat mRNA has been found in a subset of immature glial cells and in the alimentary tract. The corresponding rat protein has been detected in the pancreas, small intestine, colon, and liver. The human mRNA is expressed in glioma cells, prostate, and uterus. Expression of the human protein has been detected in uterus, basophils, and mast cells. |
|
Applications: |
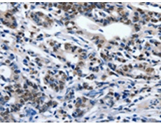
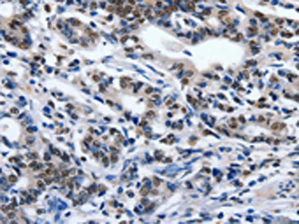
ELISA, IHC |
|
Name of antibody: |
ENPP3 |
|
Immunogen: |
Synthetic peptide of human ENPP3 |
|
Full name: |
ectonucleotide pyrophosphatase/phosphodiesterase 3 |
|
Synonyms: |
B10, NPP3, PDNP3, CD203c, PD-IBETA |
|
SwissProt: |
O14638 |
|
IHC positive control: |
Human gastric cancer |
|
IHC Recommend dilution: |
50-200 |
購(gòu)物車
幫助
021-54845833/15800441009
