|
Background: |
The protein encoded by this gene is a death domain containing adaptor molecule that interacts with TNFRSF1A/TNFR1 and mediates programmed cell death signaling and NF-kappaB activation. This protein binds adaptor protein TRAF2, reduces the recruitment of inhibitor-of-apoptosis proteins (IAPs) by TRAF2, and thus suppresses TRAF2 mediated apoptosis. This protein can also interact with receptor TNFRSF6/FAS and adaptor protein FADD/MORT1, and is involved in the Fas-induced cell death pathway. |
|
Applications: |
WB, IHC |
|
Name of antibody: |
TRADD |
|
Immunogen: |
Synthesized peptide derived from Internal of human TRADD. |
|
Full name: |
TNFRSF1A-associated via death domain |
|
Synonyms: |
Hs.89862 |
|
SwissProt: |
Q15628 |
|
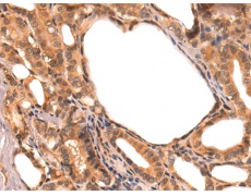
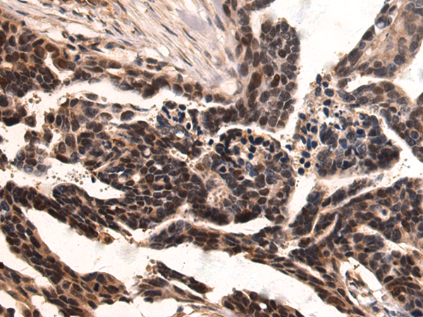
IHC positive control: |
Human breast carcinoma tissue |
|
IHC Recommend dilution: |
50-100 |
|
WB Predicted band size: |
34 kDa |
|
WB Positive control: |
COS7 cells lysate |
|
WB Recommended dilution: |
500-3000 |

購物車
幫助
021-54845833/15800441009
