中文名稱:兔抗BTLA多克隆抗體
|
Background: |
This gene encodes a member of the immunoglobulin superfamily. The encoded protein contains a single immunoglobulin (Ig) domain and is a receptor that relays inhibitory signals to suppress the immune response. Alternative splicing results in multiple transcript variants. Polymorphisms in this gene have been associated with an increased risk of rheumatoid arthritis. |
|
Applications: |
ELISA, WB, IHC |
|
Name of antibody: |
BTLA |
|
Immunogen: |
Fusion protein of human BTLA |
|
Full name: |
B and T lymphocyte associated |
|
Synonyms: |
BTLA1; CD272 |
|
SwissProt: |
Q7Z6A9 |
|
ELISA Recommended dilution: |
5000-10000 |
|
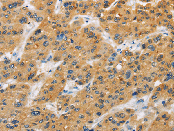
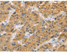
IHC positive control: |
Human liver cancer and human gastric cancer |
|
IHC Recommend dilution: |
25-100 |
|
WB Predicted band size: |
33 kDa |
|
WB Positive control: |
Jurkat cell lysate |
|
WB Recommended dilution: |
200-1000 |


購物車
幫助
021-54845833/15800441009
