|
Background: |
This gene encodes a glycosyltransferase that plays a role in the synthesis of Forssman glycolipid (FG), a member of the globoseries glycolipid family. Glycolipids such as FG form attachment sites for the binding of pathogens to cells; expression of this protein may determine host tropism to microorganisms. Alternative splicing results in multiple transcript variants. |
|
Applications: |
ELISA, WB, IHC |
|
Name of antibody: |
GBGT1 |
|
Immunogen: |
Synthetic peptide of human GBGT1 |
|
Full name: |
globoside alpha-1,3-N-acetylgalactosaminyltransferase 1 (FORS blood group) |
|
Synonyms: |
FS; A3GALNT; UNQ2513 |
|
SwissProt: |
Q8N5D6 |
|
ELISA Recommended dilution: |
5000-10000 |
|
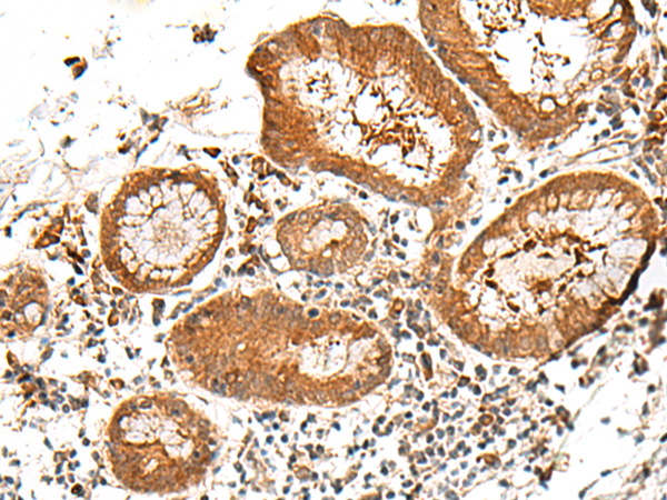
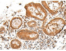
IHC positive control: |
Human lung cancer and Human esophagus cancer |
|
IHC Recommend dilution: |
30-150 |
|
WB Predicted band size: |
40 kDa |
|
WB Positive control: |
Human heart tissue lysate |
|
WB Recommended dilution: |
200-1000 |


購物車
幫助
021-54845833/15800441009
