|
Background: |
This gene is located within the Smith-Magenis syndrome region on chromosome 17. It encodes a protein of unknown function. |
|
Applications: |
ELISA, IHC |
|
Name of antibody: |
DHRS7B |
|
Immunogen: |
Fusion protein of human DHRS7B |
|
Full name: |
dehydrogenase/reductase 7B |
|
Synonyms: |
CGI-93; SDR32C1 |
|
SwissProt: |
Q6IAN0 |
|
ELISA Recommended dilution: |
5000-10000 |
|
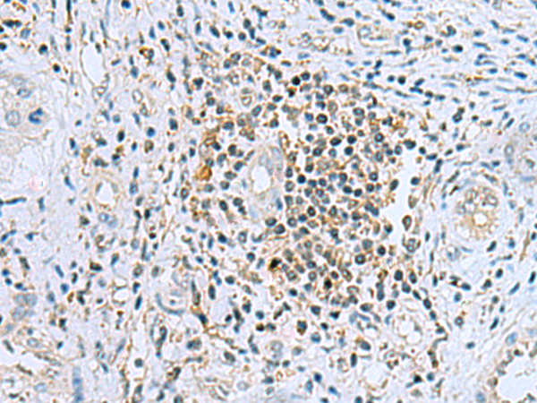
IHC positive control: |
Human liver cancer |
|
IHC Recommend dilution: |
50-100 |
購物車
幫助
021-54845833/15800441009
