相關(guān)類別:一抗
|
Background: |
This gene encodes a member of the CHMP/Chmp family of proteins which are involved in multivesicular body sorting of proteins to the interiors of lysosomes. The initial prediction of the protein sequence encoded by this gene suggested that the encoded protein was a metallopeptidase. The nomenclature has been updated recently to reflect the correct biological function of this encoded protein. Several transcripts encoding different isoforms have been found for this gene. |
|
Applications: |
ELISA, IHC |
|
Name of antibody: |
CHMP1A |
|
Immunogen: |
Fusion protein of human CHMP1A |
|
Full name: |
charged multivesicular body protein 1A |
|
Synonyms: |
PCH8; CHMP1; PRSM1; PCOLN3; VPS46A; VPS46-1 |
|
SwissProt: |
Q9HD42 |
|
ELISA Recommended dilution: |
2000-5000 |
|
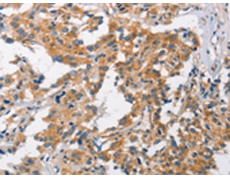
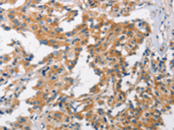
IHC positive control: |
Human thyroid cancer and human gastric cancer |
|
IHC Recommend dilution: |
50-200 |
購物車
幫助
021-54845833/15800441009
